Galerija radova

Predstavljamo vam izbor izvanrednih stomatoloških radova kroz koje ćete upoznati naše najuspješnije estetske i funkcionalne transformacije osmijeha.

Svaki prikazani slučaj rezultat je pomnog planiranja, vrhunske tehnologije i precizne izvedbe, prilagođene jedinstvenim potrebama pacijenta.

U nastavku pogledajte primjere restauracija, od suptilnih korekcija do kompleksnih protetskih zahvata, te uvjerite se kako kombinacija stručnosti i inovativnih materijala donosi trajne i prirodne rezultate.

Galerija stomatoloških radova

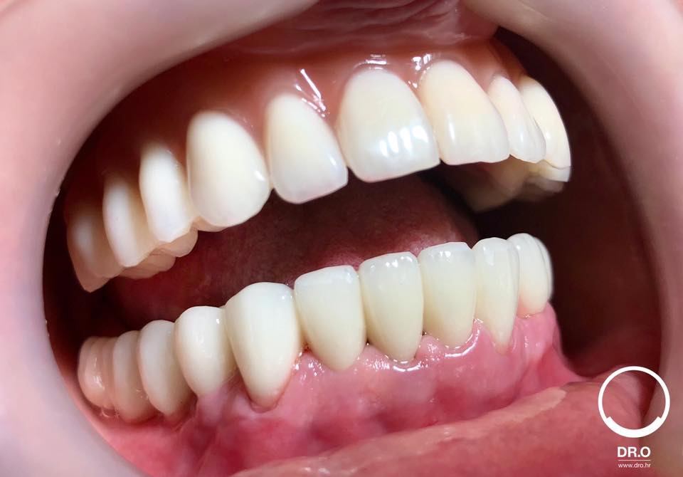
Cirkon keramičke krunice u gornjoj i donjoj čeljusti

All-on-6 u gornjoj čeljusti, 12 cirkon keramičkih krunica u donjoj čeljusti

Potpuna rekonstrukcija gornje čeljusti s Nobel All-on-4 zahvatom te 2 Nobel implantata u donjoj čeljusti i most od 12 metal keramičkih krunica

14 potpuno keramičkih krunica (Emax) u fronti i 17 metal keramičkih krunica u distalnoj regiji

Potpuna rekonstrukcija gornje i donje čeljusti s 11 implantata i cirkon-keramičkim krunicama

Komplet implantat ( implantat + nadogradnja + krunica)

Krunice na implantatima kao zamjena za prirodne zube

All-on-4

3 Nobel Biocare implantata u gornjoj čeljusti i 24 metal keramičke krunice

14 metal keramičkih krunica u gornjoj čeljusti

14 potpuno keramičkih krunica (Emax) u gornjoj čeljusti

Metal keramičke krunice u gornjoj čeljusti

4 potpuno keramičke Emax krunice u gornjoj fronti

16 potpuno keramičkih krunica u fronti i 10 metal keramičkih krunica u distalnoj regiji

Implanto protetski rad s metal keramičkim krunicama u donjoj i gornjoj čeljusti

23 zirkon keramičke krunice na prirodnim zubima

Postupak izrade metal keramičkih mostova na prirodnim zubima

Zamjena starih i istrošenh protetskih radova

Kompletan postupak izbjeljivanja zubi